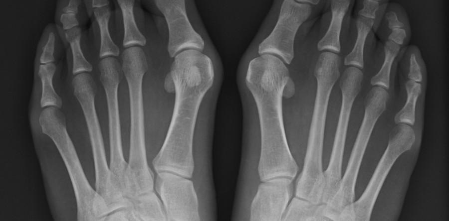
Alluce valgo – “cipolla” Per ALLUCE VALGO si intende una deformità dell’articolazione alla base dell’alluce, caratterizzata dallo spostamento verso l'esterno della base dell'alluce e dalla deviazione della punta dell'alluce stesso verso le altre dita. Questa patologia viene spesso indicata con il termine “cipolla”. L’alluce valgo, oltre a modificare l’anatomia del piede, può comportare: Dolore nella…
Per saperne di più
Alluce valgo Vergiate Varese

